创刊号——大脑表面解剖与深部投影及其应用一例
- 健康知识
- 2024-05-27
- 375
教授说过,神外医师必须有一双“see--Xray-”的眼睛。虽然立体定向、导航、术中影像技术可以很大程度解决这个问题,但我始终觉得这始终是作为一名神经外科医师的必备功底,好比战场上的飞行员、坦克手首先都是会使步枪的士兵。作为神经外科初出茅庐的小兵,整理了一些大师的作品,并结合近期的一个病例,谈谈这方面的认识。
对一个脑深部病变进行术前定位,根据术前影像来确定x、y、z轴是最常用的方法。但如果同时结合解剖知识进行定位,那也许可以起到双重保险的作用。这时候,私以为需考虑如下三层关系:
体表与颅骨的关系
颅骨与皮层的关系
皮层与深部的关系
在这些形态解剖学的基础上,需进一步掌握功能解剖学(皮层功能区 白质传导束),从而最终确定从皮层的什么部位、沿着什么方向切入。话不多说,看图说话。。。
0.先看看脑沟脑回的命名

体表与颅骨的关系

2.颅骨与皮层的关系


3.皮层与深部的关系

来一段教授解剖视频《 the 》的截图



4.功能解剖学





结合老板近期做的大脑内部海绵状血管瘤一例来看看实际应用
术前MRI-水平位提示:前后方向病变位于中央后沟,内外方向位于半卵圆中心的外侧,高度位于顶间沟水平;该患者右侧脑沟特别明显,病变恰位于中央后沟与顶间沟交汇处,因此只需沿着脑沟进入,而无需切开皮层,寻找含铁血黄素沉着即可

术前MRI-T1矢状位提示:病变高度位于胼胝体上缘,前后位于中央后沟、即侧脑室体部与房部的交界处。

这是术前做的体表定位,我用到了两套方法:根据影像量尺寸、解剖投影定位。此例发现并不吻合,原因后面会说。
方法一,先看根据影像量尺寸的定位:在矢状位的中线层面,根据冠状缝或枕外粗隆来确定前后方向的位置;再根据水平位病变距离耳眦线的层面数来确定上下位置,这个十字交叉处的圆形即为根据此法作出的定位,并以此为中心作一马蹄形皮瓣切口(初出是茅庐实在没有底气,于是作了这么大一个切口。。。请勿吐槽)。
方法二,再看根据解剖投影的定位:先把各个基线画好,侧裂与颞上线之间为额下回-侧脑室额角,颞上线对应额下沟-侧脑室顶壁-胼胝体下缘,中央沟则可确定中央后回-中央后沟的大致位置,结合侧裂又可确定缘上回-顶间沟的大致位置。根据术前的读片,病变就位于中央后沟和顶间沟相交的这个深沟内,而这个深沟应该位于途中切口的后方拐角附近。
两套方法不相吻合,选哪个。。。当时还是对自己的解剖定位没有信心,于是选择了方法一。。。果然,打开硬膜,深深的中央后沟和顶间沟就在骨窗的后上边缘了,还好骨窗做足了,至少看到了这脑沟,我也算送了口气。。。接下来的经脑沟入路海绵状血管瘤切除术就交给老板了。。。
回过头分析方法一失败的原因,可能主要在于病变上下位置定得太低了,而这是通过层面x层厚算出来的,这个方法的缺点就是,在我们的电子系统内似乎查询不到精确的层厚,同时由于每个病人头位摆放的不标准,似乎也难以找到确切的耳眦线层面(这个日后得请教一下我们医院的放射科)。尽管如此,我还是觉得结合两种方法来定位能提高准确性,也能不断锻炼我们的“see--Xray-”。

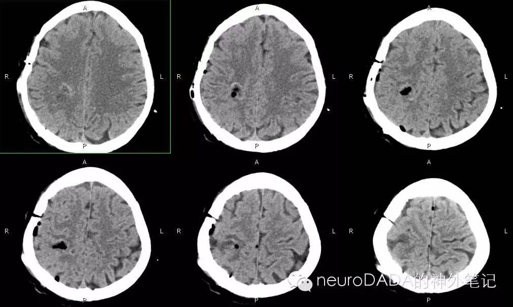
术后的CT复查,完全是经脑沟入路,未损伤皮层。病人无任何神经功能障碍。

一晃眼已经是凌晨2点半了,学习知识和汇总知识的过程确实收获不小也其乐无穷,但这些知识也很快就可能遗忘,所有我想通过这个形式记录下来,以便在今后的学习工作中不断回顾加强记忆;同时,里面肯定还是有很多问题没搞清楚或理解错误的,我想通过分享,肯定可以得到广大同仁和老师们的指正,彼此收益。
今天开了个头,希望能一直坚持下去。
参考文献及资料:
教授的专著《The Space》
教授的解剖视频《 the 》(字幕见丁香园帖子)
, A., et al., Brain sulci and gyri: a . J Clin , 2014. 21(12): p. 2219-25.
Atlas Of ( Vol.3 ) Head,Neck & .15ed.2011
上一篇:难找的民间特效秘方
下一篇:道家治疗糖尿病的奇方
发表评论