最新临床结果:间充质干细胞治疗对特发性肺纤维化安全有效
- 民间偏方
- 2026-03-20
- 384
特发性肺纤维化(IPF)是一种慢性、进行性、纤维化性间质性肺疾病,研究发现干细胞对其存在潜在治疗效果。先前的I期临床试验已表明,间充质干细胞(MSCs)治疗在轻中度特发性肺纤维化(IPF)患者中是安全的,有效的[1]。
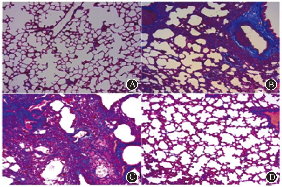
日前,发表在《干细胞转化医学》上的研究首次揭示了对于肺功能迅速下降的特发性肺纤维化患者来说,高累积剂量的间充质干细胞治疗是安全和可耐受的,并且有效[2]。这对于干细胞治疗特发性肺纤维化的临床应用来说具有重要意义。

已发表临床试验结果证实了间充质干细胞的安全性。然而,所有这些研究入组的患者均为肺功能轻度到中度受损的患者,而且没有考虑他们之前的肺功能下降率。此外,移植细胞的总剂量不超过2×10^8。

这项研究在肺功能快速下降的IPF患者中进行了细胞疗法的第一次临床试验,该临床试验在单次间充质干细胞注射剂量和注射频率方面都进行了增强。20名符合诊断标准的IPF患者被纳入该试验,被随机分为实验组和对照组,前者接受大剂量间充质干细胞注射,后者接受生理盐水注射。结果显示:高累积剂量的间充质干细胞移植是安全和耐受性良好的,不会提高不良反应的发生率,此外在治疗效果方面,在治疗期间,试验组患者的肺功能较治疗前显著提高。

图片来自文献[2]
干细胞是特发性肺纤维化治疗新方向
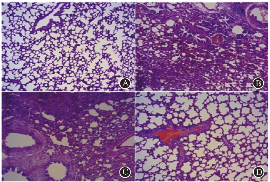
特发性肺纤维化(IPF)是最常见的间质性肺疾病,其特征是间质炎症和上皮细胞损伤,随后成纤维细胞增生和胶原沉积。间充质干细胞已被证明可以抑制持续的损伤,并有助于组织修复。在大量成功的临床前研究之后,间充质干细胞被认为是肺纤维化治疗的一个潜在的新方向。


图片来自文献[3]
间充质干细胞在肺纤维化中的潜在作用与其产生大量具有抗炎、免疫抑制和血管生成特性的生物活性物质的能力有关。在几个成功的临床试验中(见下图),旁分泌因子的分泌已被认为是一个重要的作用机制。


图片来自文献[3]
除了旁分泌信号外,间充质干细胞还可能通过细胞融合、细胞间相互作用(包括线粒体的转移、分化和促进新生血管)发挥作用[3]。IPF患者患肺炎的风险更高,但肺炎和脓毒症的实验研究表明,间充质干细胞分泌抗菌因子并上调细菌吞噬功能[4]。在早期对间充质干细胞的研究中[5]发现,它们与体内组织微环境的相互作用包括归巢、克隆扩增或嵌套、随后的终末分化以及遗传整合事件(供受者细胞之间的细胞间融合)。
胎盘干细胞:肺纤维化治疗的潜在药物
间充质干细胞来源于人体的多种组织,其中包括胎盘。2020年,来自意大利布雷西亚研究中心(CREM)的科研团队在《干细胞转化医学杂志》发布了一项研究[6],首次向人们展示了从人胎盘羊膜收集的干细胞可以减缓肺纤维化的进展。

研究发现新鲜收集的和扩增的人胎盘羊膜间充质干细胞都能够控制患病肺中B细胞的存活和成熟。对人羊膜间充质干细胞治疗潜力的新认识,为人羊膜间充质干细胞在治疗特发性肺纤维化和其他炎症相关纤维化疾病方面提供了进一步有力的证据。
近年来,干细胞疗法作为特发性肺纤维化(IPF)治疗领域的一颗璀璨明星,被给予厚望。随着一系列相关研究与临床试验的开展,胎盘干细胞以及其他来源干细胞会给特发性肺纤维化患者带来更大希望。
上一篇:谈语文教学中的审美教育论文
下一篇:饭后保健不如饭前养生
发表评论