医疗地图 | 夺走了“沙僧”的生命,肺间质纤维化你懂吗?
- 民间偏方
- 2026-03-23
- 422
2009年4月12日上午10点20分,电视剧《西游记》中“沙僧”的扮演者、著名演员闫怀礼在北京因肺部纤维化失去了生命。
那么这个病到底是什么情况呢?今天就跟大家简单聊聊。
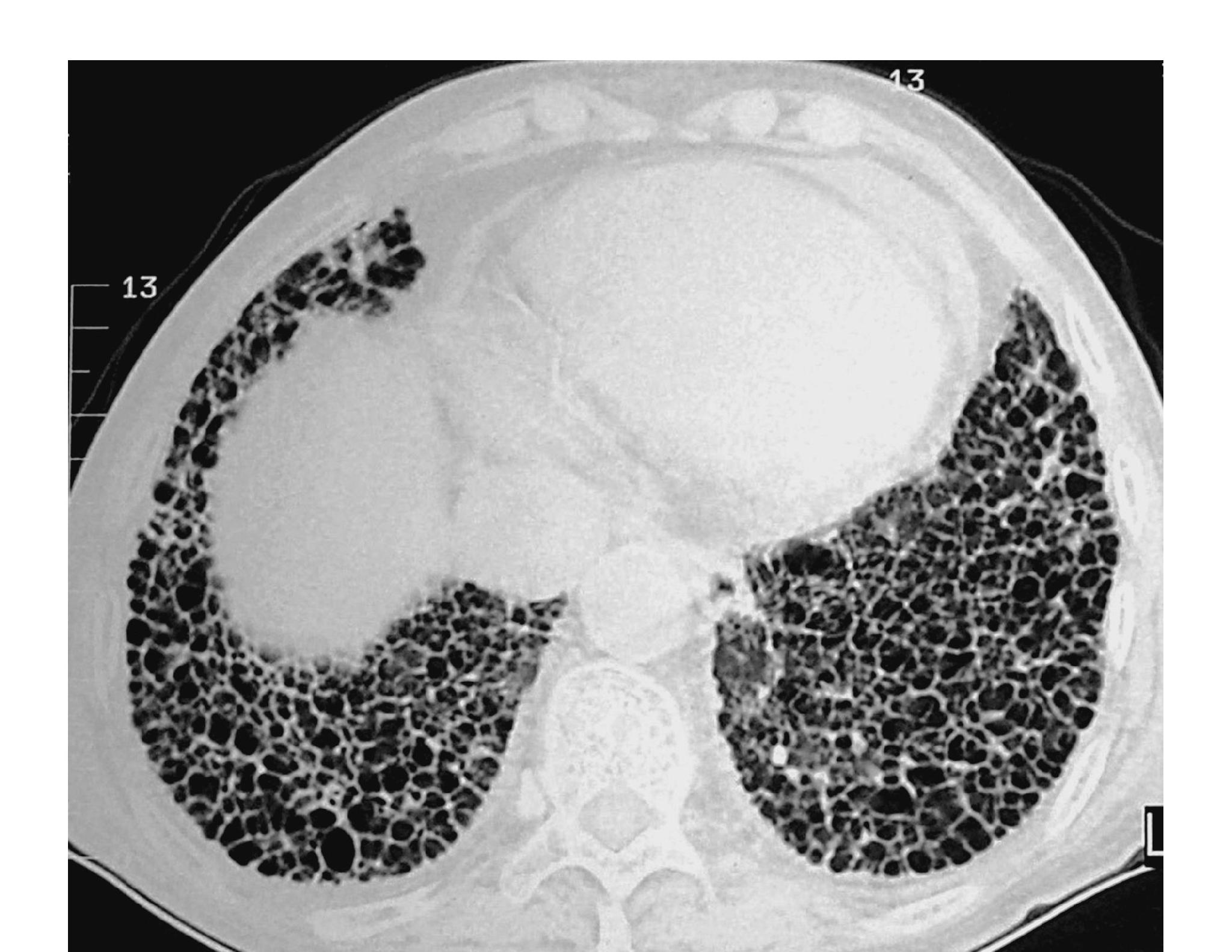
什么是肺间质纤维化?
肺间质纤维化,患者的肺部就如长了“瘢痕”,是由很多原因引起的弥漫性肺间质破坏、瘢痕形成的一种呼吸道疾病。

这种广泛的肺部瘢痕导致氧气不能顺利进入肺部血管,可导致肺功能出现不可逆转的减退,出现呼吸困难和全身缺氧的症状。
其中尤以特发性肺纤维化为甚,明确诊断后仅50%的患者有机会生存2-3年。由于目前临床上仍缺乏对肺纤维化的特异性治疗方法,所以肺纤维化被称为“不是癌症的癌症”。
哪些高危人员容易得肺纤维化呢?

NO.1、工人
长时间接触到一些粉尘、灰尘、化学的环境,引起肺部持续损伤和修复,形成肺纤维化。硅肺、煤工尘肺是典型的肺纤维化性职业环境性肺病。
NO.2、吸烟者

吸烟者患肺纤维化的可能性大大增加,尤其是吸烟指数(每天吸烟包数×吸烟年数)超过20包年的吸烟者。
NO.3、肿瘤患者
恶性肿瘤(如乳腺癌、肺癌及血液系统肿瘤)患者,接受胸部放射治疗后,放射区域内的肺组织受到损伤而引起的炎症反应,也称为放射性肺炎。

NO.4、服用某些特定药物
磺胺类抗生素,氨甲蝶呤等免疫调节剂,博来霉素、环磷酰胺、丝裂霉素、百消安等抗肿瘤药物,胺碘酮、妥卡尼等抗心律失常药以及可卡因等精神类药物,都可能引起肺纤维化。
NO.5、患有结缔组织病者
结缔组织病累及肺部会引起肺纤维化,常见的有系统性硬化、系统性红斑狼疮、类风湿关节炎、干燥综合征、皮肌炎、混合性结缔组织病等。
肺间质纤维化如何治疗?
治疗目标是阻断疾病进展,延长生存期,预防急性发作,减轻症状。
目前常用的治疗方法包括抗炎药物、抗氧化剂、抗纤维化治疗、抗细胞因子治疗以及抗凝治疗。
近年来,抗纤维化和抗细胞因子治疗方法备受关注,其应用也越来越广泛,如吡非尼酮、尼达尼布、TNF-α抑制剂、TGF-β抑制剂等,可抑制肺纤维化过程中的促纤维化因子,减缓纤维化进程。
上一篇:腹部的解释 腹部的拼音是什么
下一篇:宫颈癌方十六
发表评论