电生理监测下乙状窦后入路切除内听道前后型脑膜瘤(手术图文详解)
- 健康知识
- 2026-03-21
- 619
基地:暨南大学附属第一医院神经外科
术者:张茂营 廖建成
背景介绍:桥小脑角(CPA)脑膜瘤
1.CPA区脑膜瘤发病以中年女性为多,平均年龄43.8岁,女:男为1.53:1。且多被邻近的重要神经血管所缠绕,解剖结构复杂;
2.CPA脑膜瘤一般起源于覆盖在岩锥后表面的硬膜,肿瘤与第Ⅴ、Ⅶ/Ⅷ、Ⅸ和Ⅹ颅神经、小脑前下、后下动脉、岩静脉、脑干关系密切,并常常黏连或者包绕其中;
3.本病以第V、Ⅶ、Ⅷ颅神经损害和小脑功能障碍最常见;面肌抽搐或轻度面瘫是面神经损害早期表现,患者面部麻木、感觉减退、角膜反射消失,颞肌萎缩等三叉神经损害表现也较常见,占60%。
桥小脑角(CPA)相关解剖
*CPA属于最深、最大、最复杂区
*外侧:颞骨岩部后面;内侧:脑干(桥脑、延髓)
*后上:小脑;下方:神经血管及蛛网膜结构
*相关:颞骨、枕骨、脑干、小脑、椎基底动脉系统、V-XII对颅神经




病历简介:
患者女性,46岁
主诉:头晕、面部麻木1月余
现病史:患者1月前无明显诱因下出现面部麻木不适、头晕、偶有走路不稳,无恶心、呕吐等症状,当地医院就诊行MRI检查示“右侧桥小脑角区占位病变”,为进一步诊治来院住院治疗。
查体:神清语利,右侧面部麻木感,面神经功能正常,电测听检查听力、听阈正常,平衡功能障碍,闭目难立征(+)。
术前影像学检查:
右侧桥小脑角区见一团块状异常信号影,大小约3.6×2.5cm,宽基底,病灶呈等T1WI稍长T2WI信号,DWI呈高信号影,邻近桥脑右侧份受压推移,增强扫描病灶呈明显较均匀强化,可见脑膜尾征。


手术过程
1.安放腰大池外引流管、连接术中电生理监测电极和装置;
2.摆放侧俯卧位。枕下乙状窦后骨瓣开颅,骨窗大小。探查桥小脑角池,电生理刺激器探测肿瘤壁及其附近结构,以定位面听神经、后组颅神经;

患者取侧俯卧位,设计耳后直切口
3.沿着岩骨内侧面,先逐步阻断基底血供,在蛛网膜外分块切除肿瘤。注意保护肿瘤与颅神经、脑血管、脑干之间的蛛网膜界面;

释放脑脊液,暴露桥小脑区,可见肿瘤基底位于岩骨面

电灼肿瘤的基底,显露小脑幕与岩骨面肿瘤

肿瘤对岩静脉有包裹,分离肿瘤,保护岩静脉

分离肿瘤与后组颅神经
4.对于内听道前型CPA脑膜瘤,颅神经通常在肿瘤的后表面,需在颅神经的间隙中操作,并分块切除肿瘤。三叉神经是最能耐受推移的神经,需充分利用该神经上、下间隙作为手术通道,其他手术通道可选择CN VII/VIII复合体和后组颅神经之间的间隙。嵌入肿瘤内的颅神经和血管结构需小心保护,以免损伤;对于桥脑外侧缘需进行锐性分离,注意保护好桥脑腹侧表面的软脑膜及静脉,避免损伤脑干;



5.本例肿瘤长入’s囊腔、内听道口内,借助内镜或者反观镜小心分离其内与神经粘连紧密的肿瘤,避免损伤,实现了全切肿瘤及面、听神经功能保留的目标;




术中电生理监测:脑干、面听、三叉神经功能未见异常
6.小心尽量修剪肿瘤基底增厚区,然后用低电量双极电凝基底硬膜。
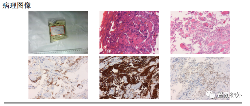
术后病理提示:WHO1级,血管瘤型脑膜瘤


术后半年复查


术者有话说:
桥小脑角区是颅底深部的一个锥形窄小的区域,集中了听神经、面神经、三叉神经及岩静脉、小脑前上动脉等重要结构,还毗邻控制心跳与呼吸的脑干,被称为“生命禁区”。因其解剖位置特殊,周围血管神经分布复杂,手术难度很大。
本例患者的肿瘤大小为3.6cm×2.5cm,属于内听道前后型CPA脑膜瘤,包绕面、听神经、三叉神经及岩静脉,与脑干关系密切,脑干受压,肿瘤部分长入内听道口,小部分肿瘤通过’ s腔生长中颅窝内;此外,肿瘤宽广基底,血供丰富,此类肿瘤全切除难度较大,是非常有挑战性的一个案例。
术者心得:
1.肿瘤切除需按以下步骤进行:暴露、断血供、瘤内减压、分离并切除。保护覆盖颅神经和脑干的蛛网膜和/或软脑膜对预后至关重要;
2.术中如果在一个界面肿瘤与周围结构粘连紧密、分离困难时,最好更换到另外一个肿瘤-脑干/神经界面继续分离并逐渐向原来的界面靠近;
3.笔者总是很警惕肿瘤前方包膜上是否有正常脑血管存在,宁可在操作前判断错1000次,也不要在误伤重要结构后追悔莫及的判断对一次;
4.术前尽可能根据影像表现分析肿瘤的基底部位,它通常是肿瘤最初获得血供的区域。术中可以仔细观察以补充术前的分析。这很重要。因为可以预判被肿瘤挤压推开的神经、血管的位置,或是它们被包绕的状态,避免术中的误伤。
5.病理示血管瘤型脑膜瘤, WHO1级,全切肿瘤后无需放化疗治疗。定期随访观察。
术者简介:

张茂营 副主任医师
暨南大学附属第一医院神经外科副主任,副主任医师、医学博士、硕士研究生导师
广东省实力中青年医师,
广东省医院学会神经外科专业委员会第一届委员会常务委员,
广东省医学会高压氧分会第八届委员会常务委员,
广东省中西医学会神经肿瘤分会常务委员,
广东省抗癌协会神经肿瘤专业委员会第四届委员会青年委员会常务委员,
广东省医师学会神经外科分会第四届委员会委员。

廖建成 住院医师
暨南大学附属第一医院神经外科住院医师
暨南大学神经外科学硕士,博士在读
发表评论