扁平疣的临床表现及治疗
- 民间偏方
- 2022-06-22
- 822
编辑本段 病因
由HPV 3,5,8,9,10,28,41,65引起,HPV经直接或间接接触传播到达宿主皮肤和黏膜上皮细胞,通过微小糜烂面的接触而进入细胞内,停留在感染部位的上皮细胞核内复制并转录,但不进入血液循环,不产生病毒血症。
编辑本段 症状
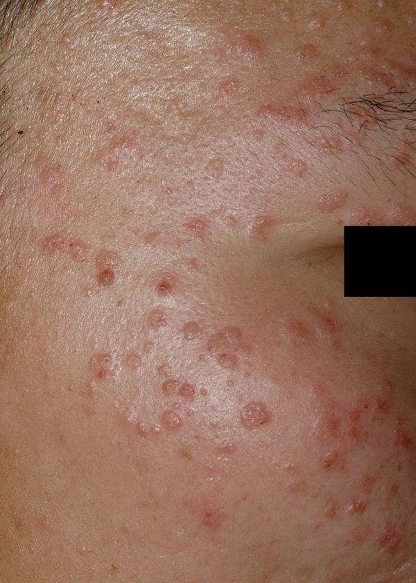
好发于青少年,可突然起病,皮损多发于面部、手背、手臂,表现为大小不等的扁平丘疹,轻度隆起,表面光滑,呈圆形、椭圆形或多角形,境界清楚,可密集分布或由于局部搔抓而呈线状排列,一般无自觉症状,部分患者自觉轻微瘙痒。病程呈慢性经过,可持续多年,部分患者可自行好转。
编辑本段 检查

病理检查表皮网篮状角化过度伴角化不全,棘层肥厚,表皮上部可见较多空泡细胞,胞核嗜碱,颗粒层均匀肥厚。真皮改变不明显。
编辑本段 鉴别
需要和瘊子鉴别,瘊子即疣,是由人类乳头瘤病毒引起的一种皮肤表面赘生物。多见于儿童及青年,潜伏期为1~3个月,能自身接种扩散。病毒存在于棘层细胞中,可促使细胞增生,形成疣状损害。根据临床表现和部位,分为寻常疣、扁平疣、跖疣、生殖器疣(尖锐湿疣)、口腔疣、咽喉疣及疣状表皮发育不良。
编辑本段 并发症

本病经过慢性,少数患者可经1~2年或更久而自行消退,消退前疣基底部常现炎症反应,抓痒加重,但可复发,极少数患者还有发生癌变的可能,虽把疣体去掉,但效果也不佳,使许多患者病损区出现水肿,溃疡,留疤等诸多并发症。
编辑本段 预防
1.远离紫外线,电离辐射。
2.远离创伤性治疗,如电离子,激光,自身疣体埋植治疗,此类治疗易形成“同型反应”,导致难以祛除的斑痕,且可加重病情。

3.远离激素类药物。
4.多喝水,多吃蔬菜,水果,可做水果面贴。
5.平时增加体育锻炼,增强免疫力就可以防止扁平疣。患有扁平疣要注意避免搔抓患处,要注意削减刺激。不要有很大的心理压力。选用适当的办法,合理医治扁平疣。
编辑本段 治疗

1.本病可突然消失,不留瘢痕。
2.外用药物可采用维a酸软膏、咪喹莫特软膏等治疗。
3.物理治疗包括冷冻及激光治疗。
3.严重者可口服异维a酸胶囊治疗。

编辑本段 饮食
1、扁平疣患者不要酗酒,不要空腹喝酒,空腹喝酒更容易吸收乙醛。
2、扁平疣患者在吃烧烤时不要吃直接与炭火接触的食物,其含有的致癌物比电烤和加铁板烧烤的要多。
3、少吃动物油和肥肉,均衡饮食,以主食为主,多吃蔬菜和水果。
4、腌制食品容易微生物污染,会伤肝。可适当补充B族维生素和矿物质,如谷类食物。
5、均衡饮食,以主食为主,多吃蔬菜和水果。
上一篇:中医美容你知道这些古代养颜秘方吗
下一篇:扫雪小学作文
发表评论