粉碎致命的肺栓塞
- 健康知识
- 2026-03-26
- 393
粉碎致命的肺栓塞
祸不单行。63岁的于阿姨因脑出血紧急就诊于上海市同仁医院神经外科,在紧张有序的检查救治中,又发现了致命的肺栓塞。肺栓塞是临床常见的三大致死性心血管疾病之一,具有高发病率、高致残率和高死亡率的特点,全世界平均每15秒就有一人死于肺栓塞。
根据危险分层,于阿姨所患的肺栓塞为中高危组,猝死风险极高,需紧急改善肺循环,才能获得生的希望。神经外科团队反应迅速,立即请来介入科会诊。双方团队一致认为:患者急性脑出血,存在系统溶栓禁忌症,而且氧饱和度偏低,血栓负荷重,单纯抗凝治疗效果欠佳,后续还可能继发慢性血栓性肺动脉高压,影响患者的下一步治疗及愈后,为了防止上述情况发生,决定为患者施行“经导管肺动脉碎栓取栓术”,同时置入下腔静脉滤器预防下肢深静脉血栓脱落;并反复与家属沟通病情,制定了周密的手术方案和详尽的治疗策略。
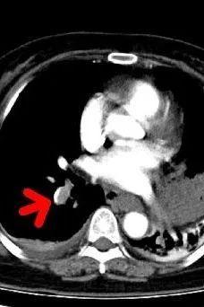
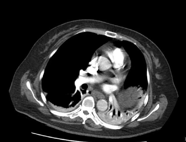
CT检查提示右肺下动脉栓塞,延伸到右肺动脉干



消毒、穿刺、置管、造影、血栓抽吸系统置入.....介入科尚鸣异主任和助手殷响医生在台上分秒必争,默契配合。随着机器有节奏地运转,致命的血栓被逐渐粉碎,并抽吸出体外。一小时后手术顺利完成,复查肺动脉造影显示右肺动脉血栓消失, 血管轮廓正常,管腔也粗了。于阿姨全程清醒,无明显不适。她心里清楚,自己刚刚与死神擦肩而过。术后,于阿姨的脉搏氧饱和度逐渐上升、血压趋于平稳,血气分析结果逐步好转。目前在接受下一步的积极治疗中。
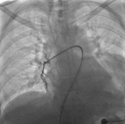
术中造影可见右肺动脉干充盈缺损,
轮廓僵硬,管腔狭窄

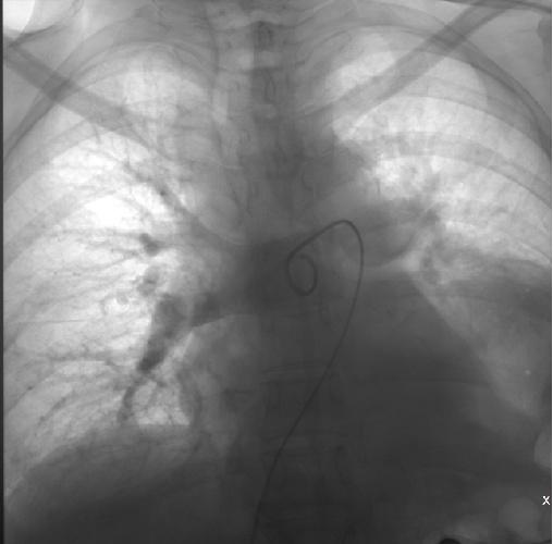
导管头顶入血栓中

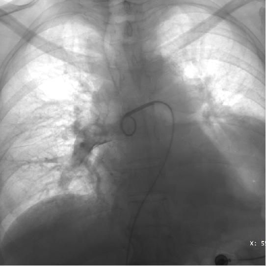
术后复查造影可见右肺动脉血栓消失,
轮廓正常,管腔也粗了

抽吸出的部分血栓

肺是人体负责气体交换的重要器官。肺中布满了丰富的血管,是肺正常工作的基础。当肺动脉及其分支被栓子堵塞时,会阻断肺的血液供应,肺血管阻力增加,气体交换障碍,心脏排血降低,患者可能出现呼吸困难、胸痛、抽搐昏迷,甚至突然死亡。
全球每年有超过1000万肺栓塞病例,常规的抗凝和药物溶栓治疗为肺栓塞的基础治疗,可以控制轻中度肺栓塞患者症状的进展;但对于大面积肺栓塞,或存在溶栓禁忌症的患者,无法提供快速、有效的治疗,并且出血风险高,即便患者幸存,也可能由于残余血栓导致肺动脉高压等后遗症,严重危害患者健康。针对这一痛点,临床亟需更有效的解决方案来弥补VTE防治中这一不可或缺的环节。

经导管肺动脉血栓碎栓取栓术是一种紧急救治措施。它是通过介入导管和特殊动力装置系统粉碎并抽吸出大块的血栓,开通肺动脉主干。该术式可以迅速纠正大块肺栓塞患者循环和呼吸功能的异常,降低急性期死亡率,而且远期可以改善患者的生活质量。
尚鸣异主任表示:由于抗凝和全身溶栓的局限性,以及开放手术栓子切除术的复杂性和危险性,经导管介入治疗受到临床研究者的欢迎。对于有绝对溶栓禁忌证的患者,介入治疗的方式包括:①猪尾或球囊导管碎栓术;②流体力学装置血栓消融术;③抽吸导管吸栓术;④血栓旋切术。对于无绝对溶栓禁忌证的患者,导管介导的溶栓或药械耦联溶栓可作为选择之一。低剂量导管介导的溶栓后早期右室功能恢复的程度与标准剂量全身溶栓后相似。系统溶栓的主要限制是增加了出血风险,尤其是颅内出血。
该病例的
复查随访
可见原有的大块血栓完全消失



作为目前临床上大面积肺栓塞的重要治疗手段,介入治疗的适应症主要包括以下情形:
1、低血压(收缩压低于或收缩压下降大于);
2、心源性休克伴有外周低灌注及低氧血症;
3、超声心动图提示右室后负荷增加和肺动脉高压;
4、毛细血管前肺动脉高压;
5、肺泡-动脉氧分压差大于;
6、重症肺栓塞伴有抗凝或溶栓治疗禁忌。
提醒大家,因为95%的肺栓子来源于下肢深静脉,下肢深静脉血栓病人的患肢常伴有肿胀、增粗、疼痛或压痛、皮肤色素沉着,行走后患肢肿胀或疼痛加重。如发生这些情况应及时到医院就诊。
上海市同仁医院介入科是一个集医、教、研三位于一体的综合性、数字化、科技现代化团队。先后荣获上海市文明班组、上海市红旗班组、上海市劳模集体以及上海市劳模创新工作室等殊荣。作为上海市医学重点专科,多年以来,在专业领域深耕细作,不断提升,打造了精准化、个体化的诊治体系,为广大人民群众享有高质量医疗服务保驾护航。
介入门诊时间
尚鸣异专家门诊:每周一上午
介入专科门诊:每周二上午
供稿:刘冰妍
审核:尚鸣异

海量资讯、精准解读,尽在新浪财经APP
发表评论