慢性胃炎,根在“自愈力”,中医“养胃方”,快速痊愈!
- 健康知识
- 2024-04-21
- 330
如果你经常出现胃痛、反酸、胀气、消化不良的症状,持续3个月以上,你很有可能患上慢性胃炎了。
每当胃炎患者拿着胃镜报告单来找我的时候,他们往往都是一脸迷惑,多数第一次做胃镜的患者,胃镜报告上会写着这样的结果——非萎缩性胃炎或浅表性胃炎,从字面上看好像没什么大事儿,事实上这种胃炎严不严重呢?

首先,给大家讲讲这类慢性胃炎的特点?
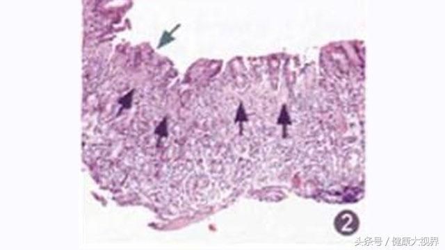
慢性胃炎是一种由复杂原因造成的胃粘膜慢性炎症。这种胃病在镜下有黏膜萎缩性改变,但还没达到萎缩性胃炎的诊断标准。

导致慢性胃炎的原因是什么呢?
胃黏膜的细胞5-10天就要更换一遍,当机体出现营养不良,细胞生长所需的“材料”不足,或者血液循环受阻,菌毒感染,以及自身激素出现问题时,新细胞生长跟不上老细胞衰亡的速度,胃黏膜就会出现老化、变薄、萎缩,甚至进一步病变恶化。

慢性胃炎应该如何治疗?
消化科医生多会建议胃炎患者采用抑酸剂、抗生素、胃粘膜保护剂,来阻挡攻击因子,延缓胃黏膜细胞的凋亡速度,再利用胃黏膜的自愈功能帮助病灶康复。
但一些胃炎患者发现自己吃了3个月的联合用药,胃炎依然没有痊愈,或者症状暂时没有了,过不久又会复发,这是为什么呢?
原因就出在胃黏膜的“自愈力”上,细胞生长除了需要好的胃内环境,还需要充足的营养供应,来提供细胞的“建筑材料”。

治疗这类胃炎时,应从营养学和人体工程学入手,改善胃部的血液循环和营养供应,做到“三分治,七分养”。
胃炎患者除了日常注意饮食外,借助一些盘活气血,促进微循环,富含生长因子的成分来帮助胃黏膜的修复,也十分必要。

介绍1个专治慢性胃炎的中药方:
方药:黄芪、丹参各30克,川芎15克,党参、升麻、柴胡、公英、枳实、肉桂、蒲黄、三棱、莪术、丹皮各10克,红花12克,甘草6克,细辛5克。出处:《养胃活血汤》
用水煎服,每天1副,7日一个周期。

胃炎患者日常还要注意食疗养胃:
脾胃虚寒的患者可以吃一些活化细胞的温补食物,如:大枣、黑豆、生姜、狗肉、猪肚等。
另外,一些温性中药,可以加入粥汤,做为日常保养,如黄芪、茯苓、山药等含有丰富的氨基酸、黏液质,可提升血清蛋白,生血生肌,帮助溃疡愈合;丹参、乳香能促进胃黏膜组织的修复与再生,消除充血水肿。

胃炎治疗,贵在对症和坚持,您有胃病方面的问题,可以一起探讨,共寻良方。
上一篇:“力-气-势”针灸体系
下一篇:祖传秘方(杂治类)
发表评论