一文理清:九类成人脑白质营养不良影像特点
- 健康知识
- 2026-03-23
- 368
脑白质病是一组各种原因引起的以白质病变为主要特点的疾病统称,谱系极广。脑白质营养不良是一组髓鞘形成或维持发生障碍的遗传性疾病,是脑白质病谱系中最重要的类型之一。
近年来,随着分子遗传学的进步,多数脑白质营养不良能够确诊并发现突变基因。但是,影像学改变仍然是临床诊断脑白质营养不良的主要依据,依赖于放射技术的发展,部分患者或携带者在疾病早期便可发现其脑白质异常,从而有助于进一步诊断和针对性治疗。
脑白质营养不良主要见于儿童,常在婴幼儿期发病,但目前除佩梅病没有成人型外,其他多数可在成人期发病。成人脑白质营养不良,或称为晚发型脑白质营养不良,临床主要表现为认知功能下降、精神行为异常、运动障碍、周围神经病、球麻痹和癫痫等,一般较儿童患者进展缓慢。
下面通过典型案例呈现,我们一起来学习下九种相对常见的成人脑白质营养不良的影像学特点吧。
X-连锁肾上腺脑白质营养不良
X-连锁肾上腺脑白质营养不良(X- ,X-ALD)是最常见的过氧化物酶体脂质代谢病。为 X 连锁隐性遗传,男性多见,由于 ABCD1 基因突变导致其编码的蛋白 ALDP 功能异常,使极长链脂肪酸在组织及体液中异常蓄积,引起脑白质脱髓鞘、脊髓退行性变和肾上腺皮质功能减退。成人 X-ALD 最主要类型为肾上腺脊髓神经病,临床常表现为痉挛性截瘫。
成人 X-ALD 的 MRI 特点:
1. 肾上腺脊髓神经病患者可见皮质脊髓束、脊髓后索、胼胝体和脑室旁白质信号异常;
2. 双侧额叶白质可先受累,对称性的由前向后进展,病灶周围可呈镶边样强化;
3. 可表现为不对称的局部病灶,有时容易和肿瘤混淆,部分病例可能与先前头部创伤有关。
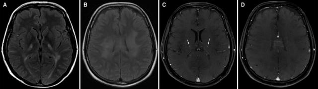
案例 1:36 岁男性,诊断为肾上腺脊髓神经病。

图 1 A~B:FLAIR 可见双侧深部白质,胼胝体体部和内囊高信号;C~D:T1 增强可见内囊和胼胝体体部病灶强化
案例 2:54 岁男性,诊断为肾上腺脑白质营养不良。

图 2 A~B:T2WI / FLAIR 提示双侧额叶皮质下、脑室旁和顶枕叶白质受累,同时可见内囊高信号。C:T1 增强提示额叶病灶周围轻度强化
案例 3:28 岁男性,诊断为肾上腺脑白质营养不良。数月前曾有右顶叶区外伤史。

图 3 A:FLAIR 证实右侧顶叶皮质下白质病灶;B:T1 增强可见病灶边缘非连续性强化;C:T2WI 可见异常信号延伸至内囊;D:DWI 可见病灶边缘高信号
异染性脑白质营养不良
异染性脑白质营养不良( )是一种常染色体隐性遗传性溶酶体贮积病,致病基因(ALRSA)定位于 22q13.3,ARSA 突变导致芳基硫酸酯酶 A 活性下降,其作用底物硫酸脑苷脂大量堆积,出现中枢和周围神经系统的脱髓鞘改变。成人异染性脑白质营养不良最常见的临床表现为:认知和精神行为异常,其次为运动症状,包括痉挛性截瘫和共济失调等。
成人异染性脑白质营养不良的 MRI 特点:
1. 双侧脑室旁白质病变,以额区为主,疾病早期 U 形纤维保留;
2. 胼胝体可受累;
3. 疾病晚期可见皮质萎缩。
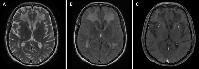
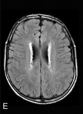
案例 4:28 岁患者,诊断为异染性脑白质营养不良。

图 4 可见额叶为主的白质高信号伴轻度脑萎缩
病
病(’s ),也称为球形细胞脑白质营养不良( cell )或半乳糖脑苷脂贮积症,为常染色体隐性遗传病,由溶酶体内半乳糖脑苷酯酶(GALC)缺乏引起,GALC 基因定位于 14q31 区。成人患者非常罕见,临床主要表现为慢性进行性的痉挛性截瘫或行走困难,下运动神经元受累相对较少。
成人 病的 MRI 特点:
1. 深部幕上(后部常见)及小脑白质病变,可有胼胝体萎缩;
2. 锥体束,胼胝体压部和视辐射可见高信号;
3. 皮质脊髓束异常信号起自运动区附近,延伸至双侧放射冠、内囊、大脑脚、脑桥腹侧和延髓。
案例 5:1 例晚发 病患者。

图 5 A~B:T2WI 可见双侧半卵圆中心至内囊后肢的皮质脊髓束对称性高信号,胼胝体压部亦有受累
案例 6:44 岁女性,诊断为 病。

图 6 FLAIR / T2WI 提示脑白质病变,累及锥体束
亚历山大病
亚历山大病( )曾称纤维蛋白样白质营养不良脑病,是一种由于星型胶质细胞功能异常导致的罕见神经系统进行性变性病。遗传方式尚不十分清楚,可能为常染色体显性遗传病,大多数为散发病例。由胶质细胞原纤维酸性蛋白(GFAP)基因突变引起,定位于 17q21.31。
成人患者常首先出现下丘脑、脑干和脊髓受损症状,也可表现为真性或假性球麻痹、锥体束征、小脑症状、肌阵挛等,还可有自主神经功能异常。
成人亚历山大病的 MRI 特点:
1. 轻至重度延髓萎缩,可累及颈髓,有时可伴有信号异常;
2. 也可见中脑被盖萎缩,但脑桥基底部不受累,为成人亚历山大病特征性表现;
3. 基底节区弥漫或片状异常信号伴强化常见于 40 岁之后的患者,少数患者也可见脑室旁花环状高信号(少年型亚历山大病的典型影像学表现,下图)。

图 7 沿着脑室壁的白质高信号,形似「花环」
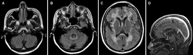
案例 7:47 岁女性,诊断为亚历山大病。

图 8 A~C:FLAIR 可见延髓萎缩伴皮质脊髓束投射区高信号,双侧深部小脑白质和大脑半球高信号;D:T1 增强可见延髓和上颈髓萎缩
案例 8:60 岁男性,诊断为亚历山大病。

图 9 T2WI 可见明显的延髓萎缩 [a] 伴轻度小脑萎缩 [a~b],但脑桥基底部基本正常 [b],四脑室稍扩大 [b],中脑,特别是背侧,可见萎缩 [c];l:矢状位 T1WI 可见典型的蝌蚪状脑干萎缩,包括明显的颈髓-延髓萎缩,脑桥基底部完整,需注意,中脑被盖萎缩同样促成了「蝌蚪」的形成
白质消融性白质脑病
白质消融性白质脑病( white )又称为儿童共济失调伴中枢神经系统髓鞘化不良( with ,CACH),是一种常染色体隐性遗传的脑白质营养不良,由于编码真核细胞蛋白质翻译启动因子 2B(eIF2B)的基因缺陷所致。
成人白质消融性白质脑病相对较轻,可表现为痴呆、精神异常、癫痫和偏头痛,也可出现假性球麻痹以及进行性痉挛性截瘫。
成人白质消融性白质脑病的 MRI 特点:
1. 侧脑室扩大,伴或不伴 T2WI/FLAIR 上白质高信号;
2. 部分异常白质接近脑脊液信号(T1 低,T2 高,FLAIR 低信号),提示白质液化;
3. FLAIR 上可见局限性皮质下白质低信号,可能与囊破裂或空泡化有关。
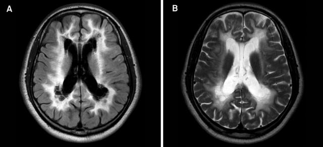
案例 9:48 岁男性,诊断为白质消融性白质脑病。

图 10 A~B:T2WI 和 FLAIR 可见双侧弥漫白质高信号,累及 U 形纤维,内囊和外囊,伴深部白质空泡化
遗传性弥漫性脑白质病伴神经巨轴索形成
遗传性弥漫性脑白质病伴神经巨轴索形成(HDLS)是一种罕见的常染色体显性遗传性脑白质营养不良,集落刺激因子 1 受体基因(CSF1R)是目前唯一被确定的致病基因。CSF1R 突变影响酪氨酸激酶结构域可能是 HDLS 的病理基础。
与其他脑白质营养不良不同,本病只见于成年人,多数在 20~50 岁起病,特征性表现主要包括执行功能下降、记忆力下降、人格改变、运动障碍、癫痫样发作、额叶症状(如判断丧失、社会行为自制力缺乏,洞察力下降等)。
成人 HDLS 的 MRI 特点:
1. 双侧额叶和额顶叶白质 T2/FLAIR 高信号,T1 低信号,早期多为非对称性,表现为斑片样或局限性病灶,多不强化;
2. 主要累及深部脑白质、环侧脑室区域,亦可累及胼胝体和皮质脊髓束;
3. 可有脑室扩大和继发性脑萎缩改变,但一般没有灰质、脑干和小脑萎缩。
案例 10:2 例患者,诊断为 HDLS。

图 11 第一例患者 34 岁时的 MRI 提示右顶叶 FLAIR[A] 高信号和 DWI[C] 弥散受限;36 岁的 MRI 提示 FLAIR[B] 和 DWI[D] 上病灶进展;第二例患者 48 岁时的 MRI 提示 FLAIR[E] 和 T2WI[F~G] 上广泛的白质高信号
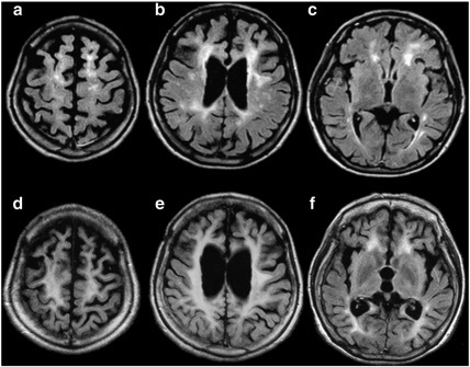
案例 11:51 岁女性,诊断为 HDLS。

图 12 a~c:患者起病时的 MRI 提示深部白质多发小片状 FLAIR 高信号病灶;d~f:5 年后复查,可见病灶融合,表现为 FLAIR 上脑白质广泛的高信号
案例 12:4 例患者,诊断为 HDLS。

图 13 FLAIR 上可见片状或融合的白质高信号病灶,胼胝体不同程度受累
成人起病的常染色体显性遗传性脑白质营养不良
成人起病的常染色体显性遗传性脑白质营养不良(ADLD)是一种非常罕见的、缓慢进展的、以中枢神经系统对称性广泛髓鞘缺失为特征的、脑白质营养不良。由编码核纤层蛋白 B1 的 LMNB1 基因异常所致。
通常于成年期(20~50 岁)起病,首发症状多为自主神经功能异常(尿便功能障碍,直立性低血压),后出现锥体束征和小脑症状。
成人 ADLD 的 MRI 特点:
1. 异常信号多见于额顶叶和小脑白质、小脑脚、皮质脊髓束和胼胝体;
2. 脑室旁白质相对受累不明显;
3. 晚期可有弥漫脑白质病变。
案例 13:54 岁男性,诊断为 ADLD。

图 14 A~B:T2WI 可见小脑深部白质,小脑中脚和脑桥高信号病灶;C~D:FLAIR 提示脑室旁和皮质下白质以及胼胝体压部弥漫高信号伴萎缩;亦可见内囊 [C] 和脑桥 [B] 皮质脊髓束高信号 [箭头]
脑腱黄瘤病
脑腱黄瘤病( )是一种先天性脂酸代谢障碍引起的脂质异常贮积病,为常染色体隐性遗传。致病基因 定位于 2 号染色体长臂(2q33-qter)。 突变所致固醇-27 羟化酶缺乏,胆固醇合成胆汁酸受阻,引起不同组织胆固醇代谢障碍。
成人脑腱黄瘤病主要表现为青年期白内障和跟腱黄色瘤,非神经系统合并症(如早期动脉粥样硬化、骨质疏松、呼吸功能不全、肾结石、心血管疾病、内分泌和肝脏异常)和神经系统症状(如神经精神发育迟滞或痴呆、小脑症状、锥体束性瘫痪、延髓麻痹、外周神经病和肌病、癫痫和精神异常),锥体外系体征比较少见。
成人脑腱黄瘤病的 MRI 特点:
1. 双侧齿状核、小脑白质、小脑脚、锥体束、脑室旁白质、胼胝体和基底节区可见 T2WI 高信号;
2. 病程晚期齿状核可出现 T2WI 低信号;
3. 可有不同程度脑萎缩和皮质病变。
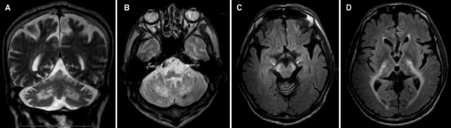
案例 14:47 岁男性,诊断为脑腱黄瘤病。

图 15 T2WI[A] 可见双侧小脑深部白质高信号;T2WI[B] 和 FLAIR[C-D] 提示小脑半球、大脑脚、苍白球和大脑深部白质高信号;注意到 B 中左侧小脑半球有一低信号区域,这一改变可在疾病晚期出现
Nasu- 病
又称为多囊性脂膜样骨发育不良并硬化性白质脑病(PLOSL),是一种以进展性早老性痴呆和全身多发性骨囊肿为特点的罕见常染色体隐性遗传病。系 DAP12 和 TREM2 基因突变所致。
成人 Nasu- 病首发症状为骨骼异常,神经系统症状多在 30 岁后出现,表现为精神异常和记忆下降,也可出现痉挛性截瘫,后逐渐进展为严重痴呆甚至死亡。
成人 Nasu- 病的影像学特点:
1. 骨骼成像可见多发囊样病灶,导致手腕和脚踝骨折;
2. 头颅 CT 可见基底节区钙化;
3. 头颅 MRI 提示皮质萎缩和非特异性的白质信号改变。
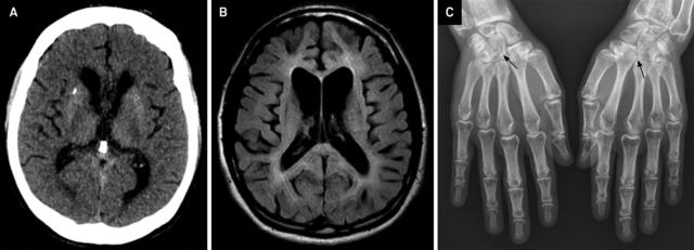
案例 15:46 岁男性,诊断为 Nasu- 病。

图 16 A:头颅 CT 可见豆状核点状钙化;B:FLAIR 提示脑室旁白质轻度高信号,可见皮质萎缩;C:双手平片证实双侧腕骨囊性病灶 [箭]
主要参考文献:
1. Leite CC, LT, GT, Kok F, Brandão AR, M. of adult . Arq . 2014 Aug;72(8):625-32.
2. van DF, JJ, Wolf NI. : and for . Best Pract Res Clin Metab. 2015 Mar;29(2):261-73.
3. 笪宇威, 李韵, 张新卿, 贾建平. 一例成年起病的 病的临床、影像学以及基因突变分析. 中华医学遗传学杂志, 2013, 30(5):585-8
4. Graff- J, K, RH, DH, Kumar N. and in type II (late-onset) .. 2014 Jan 7;82(1):49-56.
5. M, Y, Honda J, H, Sakoe K, I. Adult-onset with "" and basal : a case and of the . BMC . 2010 Apr 1;10:21.
6. 程欣欣, 徐俊. 遗传性弥漫性白质脑病合并轴索球样变研究进展. 中华医学遗传学杂志, 2014, 31(3):330-3
7. Lynch DS, Z, UM, R, S, I, et al. with : a of from CNS to in an adult onset .J . 2015 May 2.[Epub ahead of print]
8. M, K, K, T, Ikeda S. with by R782 H in CSF1R: case . J Sci. 2012 Jul 15;318(1-2):115-8.
9. M, Kondo Y, K, K, Hoshi K, K, et al. in with with : an MRI-based study. Med. 2014;53(1):21-7.
10. 聂淑科, 赵琪, 张允建. 脑腱黄瘤病. 中华神经科杂志, 2013, 46(11):784-6.
上一篇:关于描写重阳节作文三篇
下一篇:保护你的大脑
发表评论