牙齿痛怎么快速止痛,10个小妙招助你止痛!
- 健康知识
- 2026-03-25
- 361

以防下次找不到哦
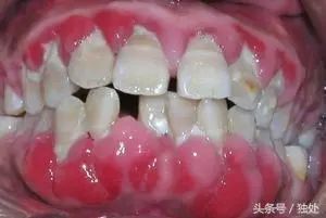
牙痛在我们的生活中很普遍,通常我们都不在意,知道疼痛的厉害的才想起来去看医生。其实牙痛是属于慢性的牙齿疾病,引起牙痛的病因有很多种,多数的原因还是生活不规律引起的。为了方便大家在牙疼时,不方便去医院,这里介绍几种家庭常用的治疗牙痛的小方法,掌握必要的应急方法,至少可减轻一时的疼痛。
首先我们先来了解下牙齿疼痛的主要病因是什么:
①龋齿:初龋一般无症状,如龋洞变大而深时,可出现进食时牙齿疼痛,吃甜食或过冷、过热的食物时疼痛加重。

②牙髓炎:多是由于深龋未补致牙髓感染,或化学药物或温度刺激引起,其疼痛为自发性,阵发性剧痛,可有冷、热刺激痛和叩痛。

③牙根尖周炎:多由牙髓炎扩散到根管口,致根尖周围组织发炎。表现为持续性牙齿疼痛。患牙有伸长感,触、压痛明显,不能咬食物。

④牙外伤:如意外摔倒、碰伤或吃饭时咬到砂粒等致牙折或牙裂开,引起牙齿疼痛。

⑤智齿冠周炎:智齿萌出困难(阻生),加上口腔卫生不良,引起牙冠周围组织发炎、肿痛。

⑥急性牙周膜炎:主要是因第三磨牙位置不正,牙冠面上部分有牙龈覆盖,常有食物嵌塞,易造成细菌滋生感染,并发生炎症,导致牙龈红肿,持续疼痛,有时伴有喉咙痛和嘴张不大。造成智齿牙冠周围的炎症即冠周炎。

了解了病因,这里介绍几种家庭常见的缓解疼痛的小方法:
①生姜:牙痛时,取1片生姜咬于牙痛处,必要时可反复使用。

②花椒、白酒止痛:含口白酒或一粒花椒在嘴里,疼痛即可缓解。

③盐水漱口:取盐1匙,开水小半杯,搅拌使盐溶化。冷却后频频漱口,可解燃眉之痛。因为盐水既可清除残留口腔内的食物残渣,又能消灭杀菌解毒。

④冰敷:就像治疗瘀伤一样,冰敷牙痛部位的脸颊,可缓解疼痛。每次敷15分钟,一天至少3至4次。

⑤大蒜:大蒜不仅对于对抗粉刺有一定的疗效,在混合了一点岩盐之后,对于缓解牙痛也具有非常好的作用,可以帮助你完全消除疼痛的感觉。

⑥青柠汁:青柠含有可以杀死诸多细菌的强烈的柑橘酸。你可以把它捣碎,将汁液放置在一个杯子中,然后吸入滴管,就可以让这些汁液成为滴在牙齿上的止痛药了。

它能够清洁你的牙齿,并且同时处理掉会引发传染的有害细菌。不过,若你口腔中有溃疡或者伤口,就要尽量避免使用这一方法了。
⑦云南白药:用牙签挑取一点云南白药加上开水一滴,调成糊状,再用牙签蘸着云南白药糊塞到牙疼的地方,一般3至5分钟后就能止住痛。
⑧洋葱:切洋葱会让你泪流满面,但正是这样的汁液会起到止牙痛的功效,牙痛的时候,切一片洋葱,咬在疼痛处,会起到止牙痛的功效,或者将洋葱汁挤到碗里,将汁液滴在牙痛处。这种方法可以缓解几小时的牙痛。

⑨口含芦荟:割一小片芦荟,剥除外皮,把内含粘性液体的果肉含在疼痛处,2至小时自行缓解。

⑩味精:味精是最常见的调味料,它除了用于调味,还具有止牙痛的功效。牙痛时,可以直接取少量的味精敷在牙痛处,或者将味精与温水混合后,含在水里,连续含漱几次,牙痛会得到很好的缓解。

最后,光会止痛还不行!日常养护很重要:
①忌食辛,辣,炸,炒之属热性之品.如辣椒,生姜,炸油条,烧饼,饼干,快餐面等.
②不偏食,饮食多样化.多食含维生素较多的蔬菜,水果.如平果,新青菜,菠菜,胡萝卜等.
③心情开朗,不要总是想着使人烦恼之事,多些和朋友玩耍,开开心心过好每一天.
④起居劳作有度,注意休息,上网不要通宵达旦。
⑤注意口腔卫生,早晚要刷牙。
觉得有用的话,

上一篇:逐血调中酒(产后血晕)
下一篇:离开雷锋的日子观后感
发表评论