小脑扁桃体下疝畸形合并脊髓空洞行减压术后出现头痛发热、脑积水
- 健康知识
- 2023-08-27
- 342
患者女,34岁,河南省永城市人。
一、李小勇脑脊液科入院前病史
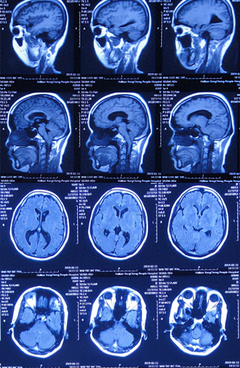
患者2019年2月初,因数次出现发作性黑蒙,2019年2月10日就诊于当地的河南省永城市某医院,查头颅CT未见明显异常(图-1);次日再查头颅核磁、颈椎核磁(图-2、图-3)后发现小脑扁桃体下疝畸形合并脊髓空洞。

图-1:2019年2月10日头颅CT

图-2:2019年2月12日头颅核磁

图-3:2019年2月13日头颅核磁
确诊后在当地医院2019年2月14日进行了小脑扁桃体下疝减压术。但术后次日出现间断头痛剧烈,恶心,以左顶部明显,伴恶心呕吐,还有发热最高体温38.6℃;给予甘露醇降颅压和抗感染后头痛可稍缓解。
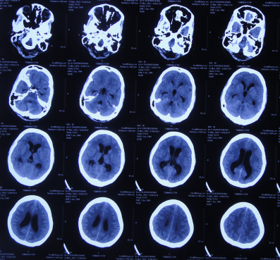
给予甘露醇治疗后10天即2019年2月24日,仍间断头痛和发热,查头颅CT(图-4)后,给予腰椎穿刺术。

图-4:2019年2月24日头颅CT
但腰椎穿刺术后头痛仅短暂缓解1天左右,在该院继续治疗8天,仍间断头痛发热,间断给予腰穿治疗,化验脑脊液白细胞高,曾先后3次查头颅CT(图-5、图-6、图-7)均示脑室并未明显扩张。

图-5:2019年2月26日头颅CT

图-6:2019年2月27日头颅CT

图-7:2019年3月5日头颅CT
小脑扁桃体下疝减压术后20天即2019年3月6日,查头颅、颈椎核磁发现仍有脊髓空洞(图-8、图-9)。

图-8:2019年3月6日头颅核磁

图-9:2019年3月6日头颅核磁
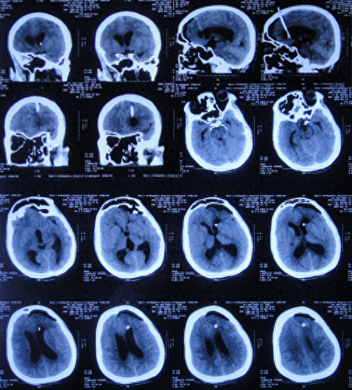
小脑扁桃体下疝减压术后28天即2019年3月14日,仍头痛剧烈,间断发热,转至上级的河南省郑州市某三甲医院。于2019年3月15日,查头颅CT(图-10)后进行了腰大池引流治疗,引流后头痛仍无缓解,引流出脑脊液呈淡黄色,浑浊,考虑颅内感染。

图-10:2019年3月15日头颅CT
给予腰大池引流术后3天,仍发热且头痛,该院医生建议转至北京的李小勇脑脊液科。
二、李小勇脑脊液治疗过程和结果
2019年3月19日(小脑扁桃体下疝减压术33天,外院治后仍间断发热、头痛、脊髓空洞近1月)转住入李小勇脑脊液科,入院时:精神差,头痛难忍,恶心,体温稍高,携带外院腰大池引流袋,引流出浑浊脑脊液(图-11)。

图-11:2019年3月19日入院时
入院当天头颅CT示小脑扁桃体下疝减压术后,枕下可见低密度影。脑室系统稍扩张(图-12);颈椎核磁脊髓可见空洞形成(片子丢失)。

图-12:2019年3月19日入院时头颅CT
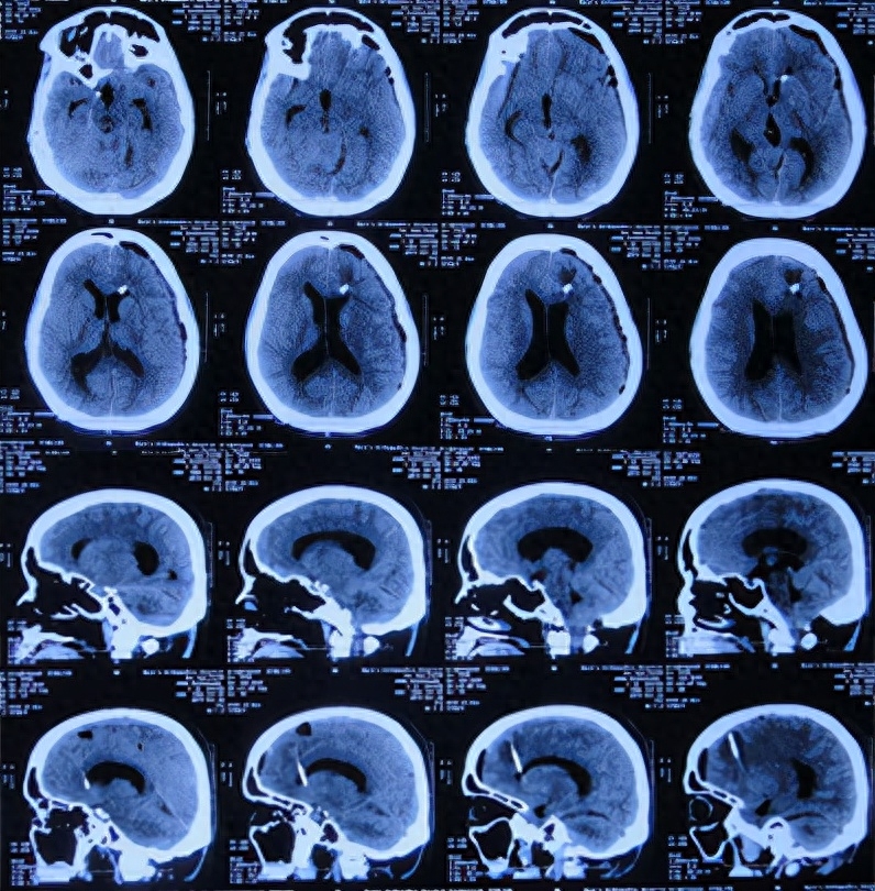
入院当天进行了腰大池引流术管+脑室外引流术(图-13)。

图-13:入院当天术后头颅CT
入院治疗3天即2019年3月22日,头痛减轻(图-14),查头颅CT示较入院时缩小(图-15)。

图-14:2019年3月22日

图-15:2019年3月22日头颅CT
入院治疗9天即2019年3月28日,体温变正常,进行了右侧侧脑室腹部外引流术。
入院治疗42天即2019年5月9日,头痛和体温均已完全正常近1月,查颈椎核磁示脊髓空洞有变小(图-16)。

图-16:2019年5月9日颈部核磁
入院治疗48天即2019年5月15日,进行了右侧脑室-腹腔分流术(图-17)。

图-17:2019年5月15日头颅CT
入院治疗58天即2019年5月25日,康复出院。出院时:神清气爽,身体完全正常(图-18)。

图-18:2019年5月25日出院时
三、出院后随访
出院后8个月即2020年1月9日,来院复查。复查时:身体完全正常(图-19),查颈椎核磁:无异常(图-20)。

图-19:2020年1月9日

图-20:2020年1月9日颈部核磁
(完)
上一篇:白细胞减少症中药方剂
下一篇:金毛叫什么犬 金毛犬是什么犬
发表评论