牙齿出血怎么办?5个小妙招可以帮你来解决
- 民间偏方
- 2022-08-16
- 362
大部分的牙齿出血是因为没有注意口腔卫生习惯以及牙周疾病引起的,虽然不会有明显的痛感,如果一直没有得到缓解的话,可能会导致各种疾病接踵而来,牙齿出血怎么办呢。
牙齿出血怎么办?
1、要找出导致出血的原因

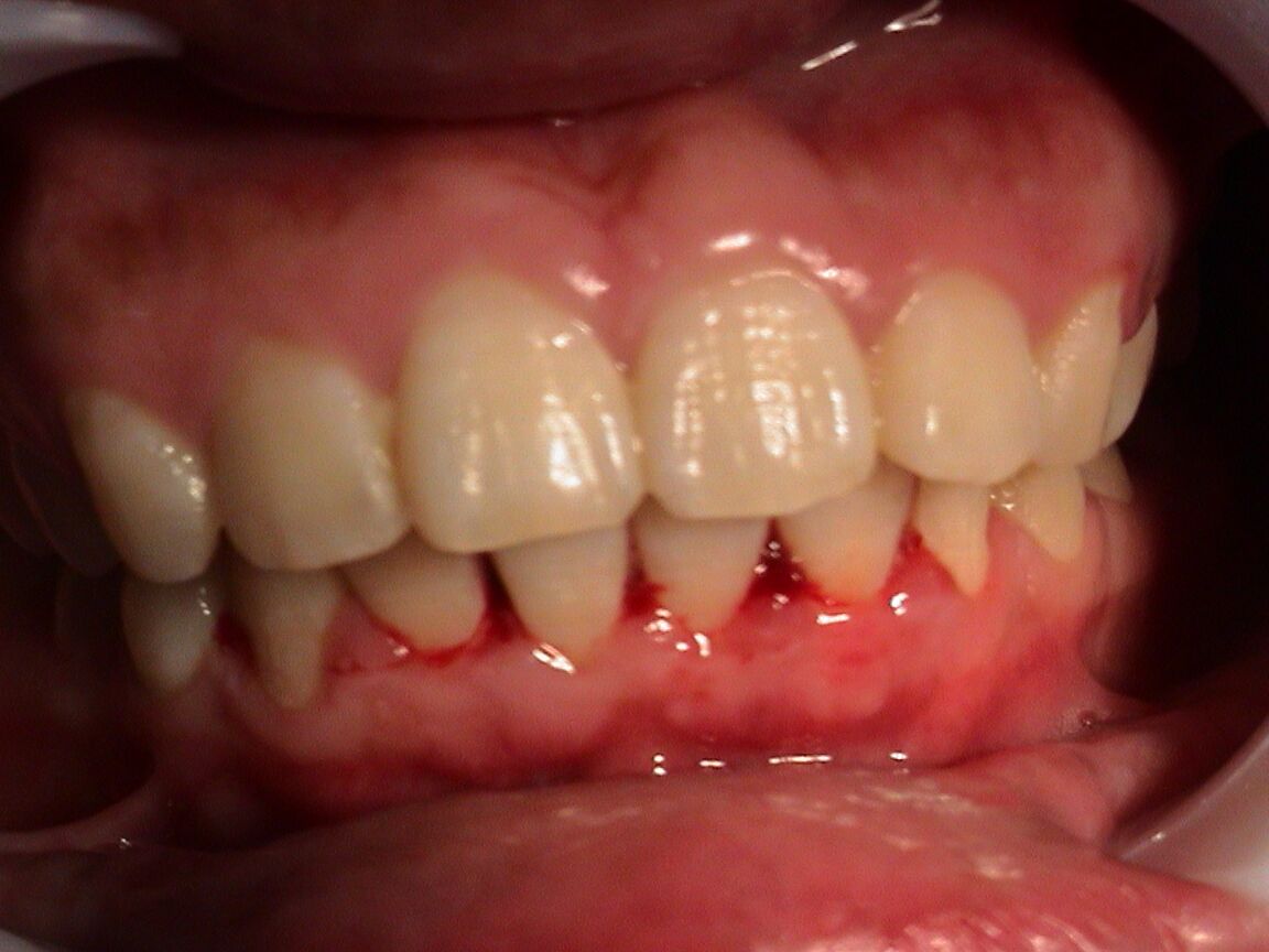
导致牙齿出血的原因有很多比如蛀牙、缺乏维生素c以及患上牙龈炎,牙龈炎是导致牙齿出血的最常见原因,因为在牙齿上会含有大量的牙结石和牙垢堆积,从而刺激到牙龈,导致牙龈处于水肿和充血状态,稍微受到刺激时就会流血。
2、使用牙周塞的方法来治疗

可以通过牙周塞治的方法来防止牙龈出血,塞治剂具有消炎、镇痛以及收敛的功效,等凝固变硬之后就能够起到压迫止血的功效。牙周塞治剂里面的主要成分就是鞣酸、氧化锌以及丁香油,期间不能吃一些粗硬的食物,塞一个星期就可以去除了。
3、牙齿止血的小偏方
准备适量的姜汁和香附一起研磨成细末,直接涂抹在牙龈部位即可。另外也可以把丝瓜藤洗干净烧成灰和适量的地龙、石矾研磨成细末涂抹在牙齿表面具有止血的功效。除此之外也可以把麦冬、人参以及茯苓洗干净一起煎服,此方法具有清补的作用。
4、使用药粉来进行止血
患者可以去药店购买云南白药,直接涂抹在出血牙龈上,也可以使用中草药止血剂,用药的过程中配合消毒棉签来压迫止血。当牙齿出现严重流血时,可以使用全身止血的药物比如维生素k。
5、要对症治疗

若是因为牙龈炎说导致的流血,应该减少对牙齿带来的刺激,千万不能吃一些坚硬的食物,养成早晚刷牙的好习惯,同时要注意口腔的清洁,及时去除牙结石,选择正规的医院治疗牙龈,可以选择3%的双氧水来清洗牙龈,从而改善牙齿流血的现象。如果是因为龋齿所引起的牙龈发炎和牙龈出血,应该选择正规的医院该去吃进行消炎,等炎症得到控制之后再进行修补。另外当缺乏维生素c时也会引起牙龈肿胀和牙龈流血,可以使用棉签压迫的方式来止血,多吃富含维生素c的食物,或者在医生的指导下选择维生素c片剂。
温馨提示
当牙龈出血时可以选择以上五种小妙招来缓解,及时找出导致牙龈流血的主要原因,平时要多吃一些富含维生素c的食物。
上一篇:摩鼻洗鼻益健康
下一篇:柚的功效,柚的作用,柚的副作用
发表评论