牙齿美白的方法有那些 牙齿美白心得
- 民间偏方
- 2023-07-01
- 342
最近小编做了个牙齿美白的疗程,感觉打开了新世界。露齿笑比之前好看了许多!我的牙齿算整齐,所以从来没有考虑过矫正这件事,但这两年拍照频繁,牙黄的缺点暴露无遗。虽然我常常抿嘴微笑,但有时候一张嘴大笑,还是会被照片里自己的一口大黄牙给吓一跳,整张照片垮掉!
为了牙齿变白,我也采取过一些简单的办法,比如用美图秀秀▼

告诉你们用去黑眼圈和高光笔都可以用来美白牙齿又比如佳洁士的美白牙贴,之前就推荐过▼

这个牙贴效果确实是有一些的,我常在拍片或者见人之前应急使用。不过我牙齿比较敏感,平常买牙膏都是舒适达或者云南白药这类抗敏的,对于这种家用美白牙贴,我的牙还是表示接受不了,用完会有酸痛感。
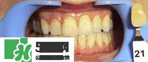
最近终于受不了自己的大黄牙,做了牙齿美白,我做的是齐美矫正的矿植物零敏感美白,做法是在牙齿上涂上矿植物成分,再进行照灯,半个小时就能立刻变白,做完也没有酸痛感,可以正常吃东西。刚做了三次,牙齿就白了11个色号,效果还是非常明显的!
上图▼

常喝咖啡、茶、抽烟,不好好刷牙都会导致牙齿越来越黄,尤其是牙根的部位,不过比起牙黄、不整齐这些外在因素,牙齿本身的健康才是最重要的。小编就是因为小时候特别爱吃糖以及不喜欢刷牙,从小到大吃了好多“牙痛”的苦头。
小时候一痛起来就酱紫▼

而没有养成好的刷牙习惯,也让我付出种牙的代价,贵到肉疼不说,还非常遭罪!所以同学们一定要好!好!刷!牙!
口腔的问题,没有皮肤的问题那么明显,可一旦发作,就非常可怕了!因为牙不好,我现在刷牙也特别认真,希望它不会再辜负我!小编给大家总结了正确的牙齿护理方法,文末还安利一款性价比超高的电动牙刷!
正确的牙齿护理方法
1. 用牙线代替牙签

像我们这种牙齿不好的人,吃完东西塞牙太正常不过了,左边这盒欧乐B的牙线非常好用,有口香糖的味道,我经常随身携带。▼

小时候总学大人用牙签来剔牙,一方面牙签太粗,会导致牙缝越来越大,另外就是容易伤到牙龈出血。
牙线使用方法▼

2. 刷完牙用漱口水
常用漱口水可以预防龋齿和牙周炎,抑制菌斑生长,容易口臭的人可以常被旅行装的漱口水或者口香糖。不过漱口水不能代替刷牙,只能作为二次清洁,所以也不能太依赖。
3. 正确的BASS刷牙法
小时候我们都被教过如何刷牙,不过长大以后,因为懒,刷牙可能还没有小盆友标准。每天早晚两次的刷牙是必须的,每次要刷足2-3分钟,刷牙前先用牙线清洁,刷完以后再用漱口水漱口。
教大家正确的BASS刷牙法
牙刷要稍稍倾斜45度,而不是垂直的,正面的牙齿刷的时候可以上下或者旋转来刷
▼

而内侧的牙齿,是要由内向外轻轻刷
▼

大牙可以前后来回刷,不同位置的刷牙方法可以参考这张图
▼

4. 电动牙刷代替手动牙刷
现在大家已经渐渐知道电动牙刷的清洁能力远高于手动,且牙医也都推荐使用电动牙刷来代替手动刷牙。但用电动牙刷并不意味着就可以不动了,其实也需要配合BASS刷牙法!


如何选择一款电动牙刷
小编用了两年多的电动牙刷,买过几个牌子,最开始用过一支旋转震动型的电动牙刷,价格比较便宜,200多,但刷完却很痛,还会出血,因为这种旋转时的摩擦对于牙龈的损伤比较厉害。
后来我换了一支震动型的电动牙刷,这种就比较贵了,四五百到一两千的都有,刷得确实很干净,但对于我这种牙龈也敏感的人来说,还是觉得力道过猛了,有时候牙龈痛的时候,刷完就更痛,而且长期用尼龙材质的牙刷猛刷,也容易损伤牙釉质。
去年小编专门给大家推荐过FOREO的ISSA电动牙刷▼

第一次用还不太习惯,但刷了几次以后觉得对敏感牙龈实在太友好了,非常温和。FOREO的牙刷跟它家的洁面仪是一样材质的,抗菌硅胶,用完速干,不需要像一般的电动牙刷那样频繁更换刷头,省了不少换刷头的钱。
后来ISSA还出了一个升级版,在硅胶头的当中增加了一小圈儿PBT聚合物,增加清洁能力,还加入了2分钟计时功能。
要说这两款ISSA唯一缺点可能就是贵吧,小编去年推荐的时候,就有很多同学留言说价格小贵,感觉难以轻松入手。
不过,就在最近,FOREO推出了一款价格亲民的ISSA play(右边这个),几乎是ISSA 的缩小版!▼

有五种颜色,样子更小巧,女生拿着很可爱,它用的是电池蓄电,可以长期使用,但就是不能更换刷头,所以价格也更便宜,只要399就可以get!
小编Tips

预算充足的可以买左边的ISSA,能更换刷头长期使用,一年换一次刷头就OK;对清洁力更有要求的可以买右边的ISSA ,半年换一次刷头;
预算不多又很想尝试的同学可以买399的,虽然不能更换刷头,但抗菌硅胶材质用半年没有问题,折合到每个月也不过才六十几块钱,作为一款高科技电动牙刷的入门款,性价比也是杠杠的!谁都不是没有故事的女同学。
上一篇:食用酱腌菜会致癌吗?
下一篇:豆腐和菠菜不要一起吃
发表评论