反其道而行之,卵圆孔未闭球囊扩张术治疗重症心衰
- 健康知识
- 2023-04-15
- 319
31岁的王先生因反复胸痛2年多,呼吸困难并双下肢水肿1个月来到大医二院心衰与结构性心脏病中心就诊。张端珍主任追问病史发现,患者虽然十分年轻,但病情十分复杂。患者2020年就出现了不明原因的急性心肌梗死,在当地医院行支架植入术治疗,但因治疗不及时,术后出现左心室巨大室壁瘤,心功能不佳,射血分数仅35%左右,然而祸不单行,2021年王先生又被发现患有慢性肺栓塞,一直用各种药物维持。
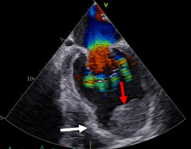
此次就诊,张主任发现患者心脏超声检查显示左心室射血分数仅有30%,同时存在巨大室壁瘤和左心室附壁血栓(图1)。患者年纪轻轻便出现心肌梗死,是不是因卵圆孔未闭引起矛盾性血栓栓塞所致?此外患者存在慢性肺栓塞,如果存在卵圆孔未闭,若下次出现矛盾性血栓栓塞,则有可能发展成脑梗死。于是张主任决定行发泡试验和经食道超声检查,结果证实了张主任的猜想,患者明确存在卵圆孔未闭。

(图1)术前超声心动图提示心尖部可见巨大室壁瘤(白色箭头),其内可见巨大附壁血栓(红色箭头)。
鉴于患者存在不明原因急性心肌梗死和慢性肺栓塞,封堵卵圆孔未闭适应证明确,但心脏超声检查也发现,患者左心房压力明显升高,此时封堵卵圆孔未闭是否有益?慢性肺栓塞需使用球囊扩张术解除,解除肺栓塞后左心回心血量肯定增加,可能会明显加重左心衰。如何处理卵圆孔未闭和肺栓塞,同时防止左心功能恶化一度让经验丰富的张主任非常纠结。综合上述临床结果,张主任大胆做出决定,根据肺小动脉楔压和左心房压力做出相应处理对策,如果肺小动脉楔压和左心房压力明显升高,则不封堵卵圆孔未闭,反而将其扩大以改善左心功能。
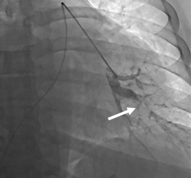
在征得患者同意之后,张主任先行选择性肺动脉造影,发现患者双肺动脉均存在弥漫性血栓(图2),测量肺小动脉楔压50/,显著高于正常,继而将导管通过卵圆孔未闭测量左心房压力为34/,同样显著高于正常。于是张主任毅然决定,先行卵圆孔未闭球囊扩张术(图3)减轻左心室前负荷,防止左心功能恶化,继而行肺栓塞球囊扩张术解除肺动脉梗阻。手术非常顺利,患者病情显著好转,术后当日晚上即可平卧,继而双下肢水肿消失,术后一个月患者日常活动毫无压力,心脏超声发现左心室射血分数自30%上升至46.6%。


(图2)选择性肺动脉造影显示,左下肺动脉因肺栓塞而几乎完全闭塞。

(图3)对卵圆孔未闭实施球囊扩张术。
张端珍主任表示,本患者病情非常复杂,年仅29岁便患急性心肌梗死并行前降支支架植入术,同时存在慢性肺栓塞,理论上封堵卵圆孔未闭具有绝对适应证。但患者合并左心室室壁瘤和附壁血栓,需要长期抗凝治疗,加上左心房压力显著升高,封堵卵圆孔未闭能否获益难以判断。另外,患者存在慢性肺栓塞,行肺栓塞球囊扩张术势必会使本已严重的心衰雪上加霜,而封堵卵圆孔未闭后如果因心衰严重再行房间隔造口术非常麻烦。
鉴于上述事实,张主任没有选择封堵卵圆孔未闭,反而采用球囊扩张术扩张卵圆孔未闭以降低左心室负荷。事实证明,这种选择非常明智,不仅没有因肺栓塞球囊扩张术加重左心衰,反而因房间隔分流导致左心衰明显好转,达到了既治疗肺栓塞又治疗左心衰的双重目的。
专家介绍

张端珍,博士,硕士生导师,大医二院心衰与结构性心脏病中心主任。全国心血管疾病介入诊疗技术培训项目培训基地(结构性心脏病介入治疗)导师,中华医学会心血管病分会委员会结构心脏病学组委员,中国医师协会心血管内科医师分会肺血管病专业委员会委员。
长期从事结构性心脏病和肺血管疾病诊治工作。每年完成先天性心脏病介入治疗600余例,个人先天性心脏病介入治疗数量居全国前列,尤其对介入操作难度大的先天性心脏病,具有独到经验;主导开展了二尖瓣狭窄球囊成形术、心肌梗死后室间隔穿孔封堵术、急性肺栓塞和慢性血栓栓塞性肺高压球囊成形术、咯血侧支血管封堵术等介入治疗;长期从事肺动脉高压诊治研究,对右心导管检查,先天性心脏病相关性肺动脉高压是否可行手术治疗以及肺动脉高压靶向药物方面具有丰富的经验和独到的见解,并参与多项国家“十一五”科技支撑计划项目和国际多中心肺动脉高压临床研究。 以第一作者发表论著34篇,副主编撰写专著1部,主译专著1部,参编专著11部,并执笔撰写了《2015年先天性心脏病相关性肺动脉高压诊治中国专家共识》。
内容:心衰与结构性心脏病中心 编 辑 : 宣 传 与 文 化 建 设 部 姜晨 审核:宣传与文化建设部郭茜
上一篇:重阳节作文400字
下一篇:维生素--生命物质的催化剂
发表评论