试述黑色素细胞的结构特征及生理功能。 黑素细胞分布在人体哪些地方?
- 知道问答
- 2023-11-08
- 232
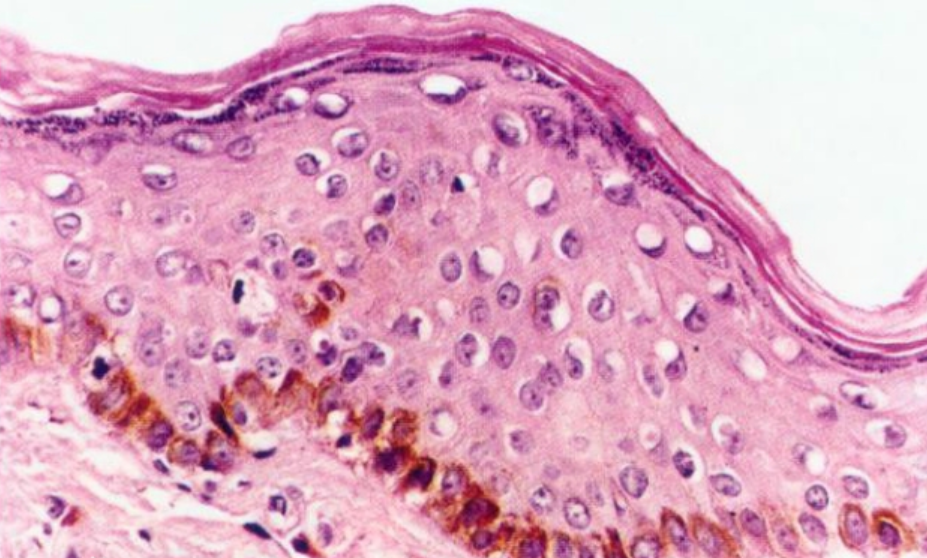
黑素细胞起源于外胚层的神经嵴,HE染色切片中黑素细胞位于基底层,数量约占基底层细胞总数的10%,细胞质透明,胞核较小,银染色及多巴染色显示细胞有较多树枝状突起。电镜下可见黑素细胞胞质内含有特征性黑素小体。
文章目录:
- 试述黑色素细胞的结构特征及生理功能。
- 黑素细胞分布在人体哪些地方?
- 黑素细胞的定义
- 每一个黑素细胞连接大约多少个角质形成细胞,构成一个表皮黑素单元
- 人元代黑素细胞会分化么
- 为什么随着年龄的增长我们的头发会变黑?
一、试述黑色素细胞的结构特征及生理功能。
黑素细胞起源于外胚层的神经嵴,HE染色切片中黑素细胞位于基底层,数量约占基底层细胞总数的10%,细胞质透明,胞核较小,银染色及多巴染色显示细胞有较多树枝状突起。电镜下可见黑素细胞胞质内含有特征性黑素小体,后者为含酪氨酸酶的细胞器,是合成黑素的场所。1个黑素细胞可通过其树枝状突起向周围约10~36个角质形成细胞提供黑素,形成1个表皮黑素单元。黑素能遮挡和反射紫外线,保护真皮及深部组织免受辐射损伤。
二、黑素细胞分布在人体哪些地方?
黑素细胞位于基底层中,是生成的细胞,约占基底层细胞的1%。黑素细胞在的切片上不易辨认,用特殊染色法可显示细胞的全貌,为有多个较长并分支突起的细胞。黑素细胞借助这些树枝状突起向邻近的一些基底细胞和棘细胞输送黑素颗粒。在电镜下,可见胞质内有丰富的和粗面内质网,发达。用银染色及DOPA反应可示其胞浆及树枝状突起中有黑素小体,其中富含酪氨酸酶,能将酷氨酸转化为黑色素。黑素体充满色素后成为黑素颗粒。黑素颗粒先移入突起末端,然后被输送到邻近的基底细胞,这样基底细胞内就含许多黑素颗粒,但黑素细胞本身含黑素颗粒较少。
黑色素是一种棕黑色物质,它是决定皮肤颜色的重要因素之一。黑色素能吸收和散射,可保护表皮深层的幼稚细胞不受辐射损伤。由于细胞中黑素颗粒的大小和含量的差别,并由于黑素细胞合成色素的速度不同,使不同种族和个体不同部位皮肤的颜色产生了差异。皮肤颜色出现差异,主要与黑素细胞产生黑素的数量有关,而与黑素细胞的数目无关。
黑素细胞它们在身体各部的数目有明显差别,如前额每平方毫米约有2000个,四肢每平方毫米约有1000个。因而黑素细胞在一些部位如面部、、腋窝、生殖器、会阴部等处分布较多。这是因为上述部位的颜色较深一些。
三、黑素细胞的定义
恒温动物的黑色素细胞又称为黑素细胞(melanocyte),除了黑色的色素以外,还能够制造一些红色或黄色的色素。变温动物的黑色素细胞则只能制造黑色的色素。
黑色素细胞的代谢若是受到破坏或抑制,会产生一些疾病,例如遗传疾病白化症,与一种称为黑色素细胞瘤(melanoma)的癌症。此外皮肤、毛发和眼睛的颜色,以及黑痣、雀斑等皮肤上的斑点,也都与黑色素细胞有关。
四、每一个黑素细胞连接大约多少个角质形成细胞,构成一个表皮黑素单元
每一个黑素细胞连接大约35个角质形成细胞,构成一个表皮黑素单元。
黑色素细胞产生黑色素,传递给周围的角质形成细胞,1个黑素细胞可通过其树枝状突起向周围约10~36个角质形成细胞提供黑素,形成1个表皮黑素单元。黑素能遮挡和反射紫外线,借以保护真皮及深部组织。

扩展资料:
黑色素细胞产生的黑色素防止阳光对人体皮肤的辐射导致的细胞染色体受损。黑色素细胞能合成并分泌黑色素,因此是一种腺细胞。然而黑色素的生物合成非常复杂,是通过色体(未成熟的黑色素)内酪氨酸—酪氨酸酶反应形成的。
在正常人体表皮中,一个黑色素细胞大约可以顾及40个角质形成细胞,称为表皮的黑色素形成单位。皮肤的颜色来自于角质形成细胞内存储的黑色素。一般来讲,存储黑色素多的人肤色更深,也更受到保护,远离阳光辐射。
五、人元代黑素细胞会分化么
不会。根据查询相关公开信息显示,人原代黑素细胞已高度分化完成,只能分裂,不能继续分化。黑色素细胞是一种皮肤里的特殊的细胞,它产生黑色素,传递给周围的角质形成细胞,黑色素停留在这些角质形成细胞的细胞核上起保护作用,防止染色体受到光线辐射受损。
六、为什么随着年龄的增长我们的头发会变黑?
如果你从幼儿园班上最金发的孩子开始,到高中变成黑发女郎,那么你不是唯一一个。随着人们年龄的增长,他们的头发通常会变黑。
根据IFLScience 的说法,这是由于黑色素产生的变化——负责头发、眼睛和皮肤颜色的天然色素。两种类型的黑色素很常见: 真黑色素决定头发的颜色,而褐黑素控制头发的温暖程度。换句话说,黑发的人产生最多的真黑色素,而红发的人产生最多的褐黑素。黑素细胞是位于每个毛囊底部的细胞,它们实际上产生了这些色素,它们从你的基因中获取线索。
但是基因并不能指导黑色素细胞在你的整个生命中产生具有相同稠度的黑色素——激素可以激活或停用某些基因。例如,当你进入青春期时,以前潜伏的基因可能会开始发挥作用,产生比以前更多的真黑色素,从而使你的头发变黑。
然而,随着时间的推移,细胞无法像我们年轻时那样快速再生,因此黑色素细胞不会产生那么多颜色。随着黑色素的减少,新的头发会变成灰色甚至是白色。当这种情况发生在你身上时,主要取决于你的基因——如果你的大家庭中的每个人都在 60 多岁时留着黑发,那么你自己的机会就相当大了。
压力会导致白发吗?
主要压力可能会加速变灰的过程,但这不一定是因为你的黑色素细胞停止产生黑色素。压力——由身体或心理创伤、严重疾病、饮食或体重的极端变化、荷尔蒙波动等引起——会导致一种叫做休止期脱发的情况,你的头发脱落速度比平时快三倍。对于中年人来说,替代它的新头发可能是灰色的,给人的印象是压力是直接原因。
也就是说,2020 年的一项研究发现,一些承受压力的老鼠的皮毛由于不同的原因而变灰。当老鼠受到压力时——由于暴露于辣椒素的变化,辣椒变辣——它们的交感神经细胞会产生去甲肾上腺素。这反过来又迅速激活了黑色素细胞并导致它们远离毛囊。没有这些黑色素细胞,老鼠的新皮毛就会变成灰色。为了看看人类是否以同样的方式做出反应,需要更多的研究。
希望文字工具网搜集的关于黑素细胞的6点解答对大家有用。
上一篇:仙酒简介 顶魂七仙酒的功效
下一篇:踢毽儿可防亚健康
发表评论