妇产超声Ⅰ,Ⅱ,Ⅲ级产科超声检查建议存留的超声图与模式
- 健康知识
- 2026-03-19
- 435
Ⅰ级产科超声检查建议存留的超声图与模式
1、丘脑水平横切面超声图及模式图,2、上腹部横切面超声图及模式图,3、股骨长轴切面超声图及模式图,4、测量胎心率图(多普勒或M型)超声图及模式图,5、测量胎盘厚度超声图及模式图,6、最大羊水池切面超声图及模式图T:丘脑;CSP:透明隔腔;TV:第三脑室;PH:侧脑室后角;CP:脉络丛;LS:大脑外侧裂;CN:尾状核;AH:侧脑室前角;R:右侧;L:左侧;ST:胃泡,UV:脐静脉,IVC:下腔静脉;AO:腹主动脉;FL:股骨

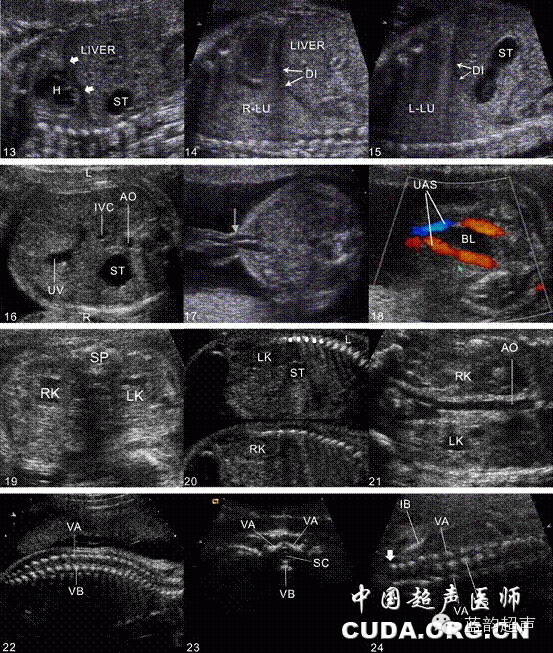
Ⅱ级产科超声检查建议存留的超声图与模式图
1、丘脑水平横切面超声图与模式图,2、小脑水平横切面超声图与模式图,3、四腔心切面超声图与模式图,4、上腹部横切面超声图与模式图,5、脐带腹壁插入口横切面超声图与模式图,6、膀胱水平横切面超声图与模式图,7、双肾横切面超声图与模式图,8、左肾及右肾矢状切面超声图与模式图,9、双肾冠状切面超声图与模式图,10、脊柱矢状切面超声图与模式图,11、股骨长轴切面超声图与模式图,12、孕妇宫颈内口矢状切面超声图与模式图,13、测量胎心率图(多普勒或M型)超声图及模式图,14、胎盘厚度测量超声图及模式图,15、最大羊水池切面超声图及模式图TV:第三脑室,T:丘脑,CSP:透明隔腔,PH:侧脑室后角,CP:脉络丛,LS:大脑外侧裂,CN:尾状核,AH:侧脑室前角,P:大脑脚,CH:小脑半球,CV:小脑蚓部,RV:右心室,LV:左心室,LA:左心房,RA:右心房,DAO:降主动脉,UV:脐静脉,IVC:下腔静脉,AO:腹主动脉,ST:胃泡,UAS:脐动脉,BL:膀胱,RK:右肾,LK:左肾,VA:椎弓,VB:椎体,FL:股骨,CX:宫颈,BL:膀胱


Ⅲ级产科超声检查建议存留的超声图与模式图
1、丘脑水平横切面超声图与模式图,2、侧脑室水平横切面超声图与模式图,3、小脑水平横切面超声图与模式图,4、鼻唇冠状切面超声图与模式图,5、双眼球水平横切面超声图与模式图,6、颜面部正中矢状切面超声图与模式图,7、四腔心切面超声图与模式图,8、左室流出道切面超声图与模式图,9、右室流出道切面超声图与模式图,10、三血管切面超声图与模式图,11、三血管气管切面超声图与模式图,12、测量胎心率图(多普勒或M型)超声图及模式图13、膈肌冠状切面超声图与模式图,14、右侧膈肌矢状切面超声图与模式图,15、左侧膈肌矢状切面超声图与模式图,16、上腹部横切面超声图与模式图,17、脐带腹壁入口腹部横切面超声图与模式图,18、脐动脉水平膀胱横切面超声图与模式图,19、双肾横切面超声图与模式图,20、左肾及右肾矢状切面超声图与模式图,21、双肾冠状切面超声图及模式图,22、脊柱矢状切面超声图及模式图,23、脊柱横切面超声图及模式图,24、脊柱冠状切面超声图及模式图25、肩胛骨水平横切面超声图及模式图,26、肱骨长轴切面超声图及模式图,27、尺桡骨长轴切面,28、尺桡骨短轴切面超声图及模式图,29、骼骨水平横切面超声图及模式图,30、股骨长轴切面超声图及模式图,31、胫腓骨长轴切面超声图及模式图,32、胫腓骨短轴切面超声图及模式图,33、孕妇宫颈内口矢状切面超声图及模式图,34、脐带胎盘入口切面超声图及模式图,35、胎盘厚度测量超声图及模式图,6、最大羊水池切面超声图及模式图






发表评论